Установка наружного вентрикулярного дренажа (НВД) одна из самых частых процедур в нейрохирургической практике. Тем не менее риски осложнения данной процедуры могут достигать от 5 до 39% . Число публикаций на тему совершенствования техники установки вентрикулярных дренажей и выявления факторов риска осложнений увеличивается из года в год . В рамках данной работы мы задались вопросом зависимости рисков осложнения и точности установки катетера от различных факторов в повседневной практике НМИЦ нейрохирургии.
Наружный вентрикулярный дренаж, НВД
Введение
Установка наружного вентрикулярного дренажа (НВД) – одна из наиболее часто применяемых нейрохирургических операций, использующаяся для коррекции внутричерепной гипертензии при тяжелой черепно-мозговой травме, острой гидроцефалии, менин-гите, а также онкологических заболеваниях, связанных с нарушением ликвороциркуляции. Как правило, имплантация НВД выполняется методом «от руки» или «на глаз» резидентами-нейрохирургами или специалистами с многолетним опытом, ориентируясь на кранио-метрические точки [3-5]. Данный факт связан с риском неудовлетворительного положения катетера и рисками осложнений, что было описано во многих исследованиях [2, 6]. В НМИЦ Нейрохирургии им. Н.Н. Бурденко операция установки наружного вентрикулярного дренажа проводится более 200 раз в год. Несмотря на огромный опыт и квалификацию специалистов, сохраняется риск развития геморрагических и инфекционных осложнений, а также неудовлетворительного интракраниального положения катетера.
Целью работы является анализ зависимости риска осложнений и неудовлетвори-тельного положения катетера от различных факторов, связанных с имплантацией НВД.
Материалы и методы
Нами ретроспективно были собраны данные пациентов, которым в 2019 году производилась установка наружного вентрикулярного дренажа в НМИЦ нейрохирургии им. Н.Н. Бурденко. Основной критерий включения была установка катетера в «премоторной области» Основным критерием исключения стало отсутствие данных КТ головного мозга после установки НВД.
Были проанализированы данные историй болезней, а также КТ головного мозга до и после установки дренажей, сведения об основном заболевании, приведшем к необходимости установки НВД, индекс Эванса до операции, положение катетера после установки, частота геморрагических и инфекционных осложнений, возникших после данной манипуляции. Подробно была проанализирована информация о месте проведения манипуляции (ОРИТ или операционная) и её ходе.
Установка НВД в нашем исследовании производилась в условиях операционной, в условиях ОРИТ либо в перевязочной. Всех хирургов, которые производили данное вмешательство, мы разделили на три группы, основываясь на их опыте, оцененном в годах (до 2 лет (ординаторы), от 2 до 5 лет (аспиранты) и свыше 5 лет нейрохирургического стажа). Для выбора места установки дренажа выбиралась либо точка Кохера, либо точка на коронарном шве с отступом 30 мм от сагиттального шва. Затем осуществлялось наложение классического фрезевого отверстия или использовалось трефинационное отверстие, производимое стилетом или дрелью. Дальнейшая методика установки катетера (направление хода стилета с катетером, глубина его установки) были стандартными и не отличались у пациен-тов.
Результат установки дренажа оценивался как удовлетворительный, если его конец находился в переднем роге или теле ипсилатерального бокового желудочка, а также отверстии Монро или 3-м желудочке, что соответствует степени I-III по Шкале оценке позиции катетера (таблица 2). В случае, если по контрольному КТ положение дренажа был иным, результат процедуры оценивался как неудовлетворительный. Также в ходе анализа контрольных КТ использовалась модифицированная Шкала оценки положения катетера НВД [7], в которую был включён V тип – контрлатеральное положение катетера.
В дальнейшем все пациенты распределялись по группам в зависимости от различных признаков (рис. 1).

Рисунок 1. Дизайн исследования. Группы сравнения.
Статистическая обработка данных проводилась с помощью IBM® SPSS® Statistics Version 23.0.0.0. Определение нормальности распределения выборки осуществлялось с использованием критерия Холмогорова-Смирнова. Определение наличия статистически значимой разницы проводилось с использованием критериев хи-квадрат, в том числе с поправкой Йетса или U Манна-Утни в зависимости от характеристик исследуемой переменной. При значении p<0,05 различия между сравниваемыми группами считались статистически значимыми.
Результаты
Всего за 2019 год установка наружного вентрикулярного дренажа в НМИЦН была произведена 112 пациентам в возрасте от 2 месяцев до 70 лет (среднее 38,09, σ = 21,364). Соотношение женщин к мужчинам равнялось 1,38. Подробно проанализированы данные о заболевании, приведшем к необходимости установки НВД (табл. 1).
|
Патология |
Количество пациентов |
Проценты |
|
Аневризматическое субарахноидальное кровоизлияние |
35 |
31,3% |
|
Иные кровоизлияния |
8 |
7,1% |
|
Острая гидроцефалия неясной этиологии |
3 |
2,7% |
|
Инфратенториальные опухоли |
29 |
25,9% |
|
Супратенториальные опухоли |
23 |
20,5% |
|
Супра- инфратенториальные опухоли |
3 |
2,7% |
|
Кисты желудочков |
1 |
0,9% |
|
Врождённые пороки развития |
2 |
1,8% |
|
Черепно-мозговая травма |
8 |
7,1% |
|
Всего |
112 |
100% |
В результате анализа контрольных КТ головного мозга нами было отмечено, что удовлетворительного положения дренажа удалось добиться у 85 пациентов (75,9%), неу-довлетворительного у 27 (24,1%) пациентов. Также качество установки дренажа оценивалось по Шкале оценки позиции катетера НВД (табл. 2).
|
Тип |
Количество случаев |
Проценты |
|
I – идеальное положение катетера, контакт со стенкой желудочка менее 5 мм) |
48 |
42,9% |
|
Ib – одновременный контакт с медиальной и латеральной стенкой желудочка (ширина катетера равна диамеру желудочка) |
12 |
10,7% |
|
II – контакт со стенкой желудочка или сосудистым сплетением более 5 мм |
15 |
13,4% |
|
III – частичное внутрижелудочковое положение катетера (менее 1,5 см длины катетера внутри желудочка) |
25 |
22,3% |
|
IV – экстравентрикулярное положение катетера (менее 5 мм длины катетра внутри желудочка) |
10 |
8,9% |
|
V – контрлатеральное положение катетера |
2 |
1,8% |
|
Всего |
112 |
100% |
Всего осложнения, не связанные с позицией катетера, выявлены у 19 пациентов из 112 (16,9%). Геморрагические осложнения возникли в 9 из 112 случаев (8,04%). Частота развития инфекционных осложнений после установки НВД составила 11 случаев из 112 (9,8%).
У каждого пациента оценивался индекс Эванса (Evan’s index или вентрикуло-краниальный индекс 1) до установки катетера. Среднее значение данного показателя составило 0,348, минимум 0,09, максимум 0,8, σ=0,109. В группе пациентов, у которой положение дренажа было удовлетворительным, среднее значение индекса Эванса составило 0,355, а в группе с неудовлетворительным положением катетера 0,323. Данные различия между группами оказались статистически незначимыми (U Манна-Утни=937,0, p=0,152).
Наиболее часто установка дренажа производилась в точке Кохера (98 пациентов, 87,5%). Также выполняли установку дренажа в точке на коронарном шве (14 пациентов (12,5%)). Нами подробно были проанализированы данные о точном расположении фрезевого/трефинационного отверстия, полученные по результатам контрольных КТ ГМ. При использовании точки Кохера (рис. 2) в среднем точка доступа находилась на удалении 23,63 мм (минимум 5, максимум 50, σ=8,309) от средней линии, и на расстоянии 17,88 мм (мини-мум 2, максимум 42, σ=8,086) от коронарного. Примечательно, что идеальное расположение отверстия (20 мм в сторону от средней линии и 20 мм кпереди от коронарного шва) было отмечено только в одном случае.
При использовании точки ввода дренажной трубки на коронарном шве отступ от сагиттального шва в среднем составил 29,57 мм (минимум 24, максимум 39, σ=4,164). В случае использования точки Кохера удовлетворительного положения дренажа удалось добиться в 72 (73,47%) случаях, в 26 (26,53%) случаях положение дренажа было неудов-летворительном. При использовании точки на коронарном шве удовлетворительное положение дренажа на контрольном КТ было в 13 случаев из 14 (92,86%), и только в одном случае положение было неудовлетворительном (7,14%). Однако при проведении статистического анализа данные различия оказались статистически незначимыми (критерий хи-квадрат=2,517 (1,569 с поправкой Йетса),p=0,113 (0,210 с поправкой Йетса)). Также интересным явился тот факт, что все 9 геморрагических осложнений возникли при установке дренажа в точке Кохера, однако при проведении статистического анализа данные различия оказались незначимыми (критерий хи-квадрат=1,398 (0,431 с поправкой Йетса), p=0,237 (0,511 при использовании Йетса)).

Рисунок 2. Точка установки дренажа при выборе метода Кохера.
Для доступа к интракраниальному пространству в 49 случаях (43,8%) использовали фрезевое отверстие, в 63 (56,3%) – трефинационное. При использовании фрезевого отверстия успешная установка дренажа отмечалась в 34 случаях (69,4%), неудовлетворительный результат был получен в 15 (30,6%) случаях. При использовании трефинационного на 51 (80,9%) случай удовлетворительной установки дренажа пришлось 12 (19%) случаев его неудовлетворительного положения. Данные различия оказались статистически незначимыми (критерий хи-квадрат=2,015 (с поправкой Йетса 1,432), p=0,156 (0,231 с поправкой Йетса)). Важно отметить, что при использовании фрезевого отверстия геморрагические осложнения возникли в 7 случаях, а при использовании трефинационного только в двух. Разница оказа-лась статистически значимая (критерий хи-квадрат=4,605, p=0,032).
В 18 случаях (16,1%) НВД установил хирург с опытом менее 2 лет, в 28 случаях (25,0%) опыт хирурга был от 2 до 5 лет. Наиболее часто (66 случаев, 58,9%) установку НВД осуществлял хирург с опытом более 5 лет. Было отмечено, что когда данную манипуляцию проводил с хирургическим опытом до 2 лет, то удовлетворительное положение катетера на контрольных снимках наблюдалось в 13 случаях (72,2%), в 5 (27,8%) случаях результат был противоположным. У хирургов с опытом от 2 до 5 лет удовлетворительное положение катетера наблюдалось в 23 случаях (82,14%), в то время как неудовлетворительное в 5 (17,86%). У хирургов с опытом более 5 лет хирургического стажа на 49 (74,24%) успешных установок катетера пришлось 17 (25,76%) неудовлетворительных результатов. Имеющиеся различия между группами оказались статистически незначимыми (критерий хи-квад-рат=0,829, p=0,661). Кроме успешности установки дренажа мы оценили частоту осложнений у хирургов с различным опытом работы. Так, у хирургов с хирургическим стажем до 2 лет геморрагические осложнения возникали в 2 случаях из 18 (11,1%), у хирургов с опытом работы от 2 до 5 лет в 1 из 27 случаев (3,7%), а у хирургов с опытом более 5 лет в 6 из 66 случаев (9,09%). Данные различия были статистически незначимыми (критерий хи-квадрат=1,085, p=0,581). Касательно частоты возникновений инфекций ЦНС после установки дренажа нами было отмечено, что при опыте работы до 2 лет данные осложнения возникли в 1 случае из 18 (5,56%), при опыте работы от 2 до 5 лет в 1 из 28 случаев (3,57%), а при опыте более 5 лет в 9 из 66 случаев (13,64%). Данные различия также были статистически незначимы (критерий хи-квадрат=2,689, p= 0,261).
Установка НВД в операционной производилась в 36 случаях (32,1%), в ОРИТ в 53 случаях (47,3%), а в 23 случаях (20,5%) данная манипуляция производилась в перевязочной. Нами были оценены частоты возникновения геморрагических и инфекционных осложнений в зависимости от места проведения манипуляции. Геморрагические осложнения возникли в 2 из 36 (5,56%) случаях при установке НВД в условиях операционной, в 6 из 53 (11,32%) случаях при установке в ОРИТ и 1 из 23 (4,35%) случае при установке в условиях перевязочной. Данные различия оказались статистически незначимыми (критерий хи-квад-рат = 1,497, p= 0,473). Было отмечено, что в 9 из 11 (81,9%) случаев возникновение инфекционных осложнений отмечалось после установки НВД в ОРИТ, в то время как после уста-новки в операционной данное осложнение возникло только в 2 (18,1%) случаях. Данные различия также оказались статистически значимыми (критерий хи-квадрат=6,312, p=0,043).
В таблице 3 приведены данные статистического анализа, проводившегося с целью выявления зависимостей исходов установки НВД от различных факторов.
|
Зависимость |
Используемый критерий |
Значение критерия |
Значение p |
Статистическая значимая разница |
|---|---|---|---|---|
|
Точности имплантации от индекса Эванса |
U Манна-Утни |
937,0 |
0,152 |
Нет |
|
Точности имплантации от расположения костного отверстия |
хи-квадрат |
2,517 (1,569) |
0,113 |
Нет |
|
Точности имплантации от варианта костного отверстия (фрезевое, трефинационное-дрель) |
хи-квадрат |
2,015 (1,432) |
0,156 |
Нет |
|
Точности имплантации от опыта хирурга |
хи-квадрат |
0,829 |
0,661 |
Нет |
|
Геморрагических осложнений от расположения костного отверстия |
хи-квадрат |
1,398 (0,431) |
0,237 |
Нет |
|
Геморрагических осложнений от варианта костного отверстия (фрезевое, трефинационное-дрель) |
хи-квадрат |
4,605 (3,224) |
0,032 |
Есть |
|
Геморрагических осложнений от опыта хирурга |
хи-квадрат |
1,085 |
0,581 |
Нет |
|
Геморрагических осложнений от места проведения манипуляции (операционная/ОРИТ) |
хи-квадрат |
1,497 |
0,473 |
Нет |
|
Инфекционных осложнений от места проведения манипуляции (операционная/ОРИТ) |
хи-квадрат |
6,312 |
0,043 |
Есть |
|
Инфекционных осложнений от опыта хирурга |
хи-квадрат |
2,689 |
0,261 |
Нет |
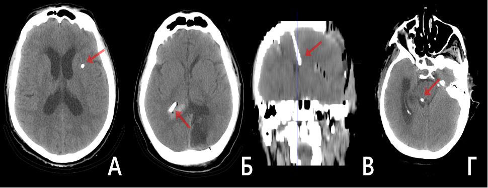
Рисунок 3. КТ томография пациентов с неудовлетворительно установленным НВД (красная стрелка). А – положение катетера в области переднего бедра внутренней капсулы. Б – положение катетера контрлательно в треугольнике правого бокового желудочка. В – контрлатеральное расположение катетера в переднем роге левого бокового желудочка. Г –расположение катетера в области четверохолмной пластинки.
Обсуждение
Несмотря на относительную простоту операции, осложнения могут достигать от 5 до 39% по данным современных серий [1], [2]. В рамках данной работы мы задались вопросом зависимости рисков осложнения и точности установки катетера от различных факторов в повседневной практике НМИЦ нейрохирургии.
Выполнение вентрикулостомии, как правило, производится при помощи классической методики freehand или «на глаз» по описанной Kocher с соавт. методике [8]. В литературных источниках координаты точки Kocher’а разнятся [6], что подтверждается разбросом наложения фрезевых отверстий и трефинаций в нашем исследовании (рисунок 2). Разброс точек для вентрикулостомии в премоторной зоне статистически не влиял на качество имплантации НВД. В литературе существует множество модификаций классической точки Кохера, что в ряде случаев даже может улучшить траекторию и точность имплантации НВД [6].
По нашим данным, количество неудовлетворительной установки НВД составляет 24.1% и не превышает показатель по данным современных серий, которые могут достигать 39% при использовании техники free hand. [9]. В 1973 году опубликовали опыт применения направляющего устройства Gajar guide для улучшения точности установки НВД [10]. С тех пор в литературе описано множество механических и электронных устройств способных улучшить точность направления НВД. На наш взгляд, использование навигационных устройств может улучшить точность имплантации и снизить риск неудовлетворительной имплантации НВД, но это не изучалось в рамках данного исследования.
По результатам нашего исследования, опыт хирурга статистически не влияет на точность установки НВД. Такие же данные были получены в исследовании Ellens с соавт. [3], где у 238 пациентов при установке НВД нейрохирургами с многолетним опытом и специалистами с малым опытом подготовки не было получено статистических различий в точности (87.4% vs 90.0%, P=.5557) и рисках геморрагических (5.9% vs 4.3%, P=0.77) и инфекционных (0.8% vs 1.4%, P=0.5399) осложнений имплантации НВД [3] Схожие данные были получены и в исследовании Yuen с соавт. в 2018 году, где риски осложнений значимо не отличались у хирургов с разным опытом [4]. При достаточной теоретической подготовке и контроле старших коллег молодые специалисты выполняют процедуру установки НВД с приемлемой точностью и риском осложнений.
Риски геморрагических осложнений при установке НВД по литературным данным могут достигать 12% [11, 12, 13]. В проведенном метаанализе Bauer в среднем геморрагические осложнения встречались в 7% случаев [11] Binz с соавт. опубликовал схожие данные, что составило 5.7% [12]. Но в данных исследованиях не учитывалось наличие антикоагулянтной терапии. Xia Zhu с соавторами проанализировали влияние антикоагулянтов на риск геморрагических осложнений ассоциированных с установкой НВД. В ходе метаанализа риск составил 9.6% для пациентов на антикоагулянтах и всего 2,4% у пациентов без антикоагулянтной терапии [13]. В нашем исследовании в большинстве случаев НВД устанавливался пациентам без антикоагулянтной терапии. Если пациент получал антикоагулянты, то при отсутствии экстренных показаний, установку НВД проводят после перерыва в 12 часов, с последующим возобновлением терапии через сутки после установки НВД. Несмотря на это, общий риск геморрагических осложнений в нашем исследовании составил 8%. Задачи отдельно оценить группу пациентов c применением антикоагулянтной терапии в ходе этого исследования нами не было запланировано. Данный вопрос является актуальным и требует дальнейшего изучения.
Открытым до сих пор остается вопрос целесообразности использования широкого фрезевого отверстия для имплантации НВД. Несмотря на современные методы наложения трефинационных отверстий для НВД при помощи дрели, механической или электрической, выполнение фрезевого отверстия остается популярным среди многих хирургов. По нашим данным, около 43% отверстий были фрезевыми. Конечно, использование данной техники имеет ряд преимуществ: визуальный контроль гемостаза, маневренность и возможность изменять траекторию при установке НВД [14]. Но имеется также и ряд недостатков, а именно большая раневая поверхность за счет разреза, отслойка ТМО в области фрезевого отверстия, риск ликвореи по штифт-каналу и более продолжительное время процедуры [14]. Так в исследовании Schödel с соавт. на 312 пациентов разделенных на 2 группы: с использованием фрезевого отверстия и трефинационного при помощи дрели было продемонстрировано, что использование дрели статистически значимо снижает риск инфекционных, геморрагических осложнений и улучшает точность имплантации НВД [15]. Однако, в исследовании Brand с соавт. такой разницы установлено не было. Авторы сравнили группы из 201 с фрезевым отверстием и 147 пациентов с трефинационным и не получили статистически значимых различий по рискам осложнений и точности установки НВД [14]. На наш взгляд, использование той или иной методики значимо не влияет на риск осложнения или точность имплантации. Но при сравнении зависимости риска геморрагических осложнений от вида доступа мы обнаружили статистическое значимую разницу (р=0,032) в большей частоте геморрагических осложнений у пациентов с ферзевым отверстием.
Инфекционные осложнения после установки НВД по данным некоторых исследований достигают более 20% [16]. Среди факторов риска, достоверно повышающих частоту развития дренаж-ассоциированных менингитов, можно выделить те, которые непосредственно связаны с установкой и использованием НВД (длительность дренирования, сочетание с ликвореей) и другие, связанные с спецификой нейрохирургических пациентов (краниотомия, инфекционное поражение мягких тканей головы и ликворея) [16]. Однако по нашим данным, развитие менингита зависит от условий, в которых проводится процедура. По нашим данным риск развития менингита статистически значимо выше при установке в отделении реанимации. Данный факт противоречив, так как экстренная установка НВД зачастую проводится в условиях ОРИТ и транспортировка тяжелого пациента в операционную только ради установки НВД затруднительна. Также имеются данные, что НВД, установленный в ОРИТ, не повышает риска инф осложнений [5]. На наш взгляд антибиотикопрофилактики (однократной инъекции антибиотика) достаточно для снижения риска инфекционных осложнений. Исходя из нашего опыта, назначение антибактериальной терапии без клинико-лабораторных признаков инфекционного процесса на фоне НВД не показано.
Заключение
Наружное вентрикулярное дренирование является рядовой нейрохирургической манпуляцией со значимым риском осложнений, достигающим по нашим данным 16,9%. Риск осложнений и точность установки дренажа не зависит от опыта хирурга, типа костного доступа и его расположения в премоторной области. По нашим данным, риск геморрагических осложнений выше при наложении фрезевого отверстия, что требует дальнейшего изучения.
1. Shtaya, A., et al., Image guidance and improved accuracy of external ventricular drain tip position particularly in patients with small ventricles. J Neurosurg, 2018: p. 1-6.
2. Sorinola, A., et al., Risk Factors of External Ventricular Drain Infection: Proposing a Model for Future Studies. Front Neurol, 2019. 10: p. 226.
3. Ellens, N.R., et al., External Ventricular Drain Placement Accuracy and Safety When Done by Midlevel Practitioners. Neurosurgery, 2019. 84(1): p. 235-241. DOI: https://doi.org/10.1093/neuros/nyy090
4. Yuen, J., et al., Complication rates of external ventricular drain insertion by surgeons of different experience. Ann R Coll Surg Engl, 2018. 100(3): p. 221-225. DOI: https://doi.org/10.1308/rcsann.2017.0221
5. Kohli, G., et al., Infection Incidence Associated with External Ventriculostomy Placement: A Comparison of Outcomes in the Emergency Department, Intensive Care Unit, and Operating Room. World Neurosurg, 2018. 110: p. e135-e140. DOI: https://doi.org/10.1016/j.wneu.2017.10.129
6. Brenke, C., et al., High accuracy of external ventricular drainage placement using anatomical landmarks. Neurochirurgie, 2020. 66(6): p. 435-441. DOI: https://doi.org/10.1016/j.neuchi.2020.09.009; EDN: https://elibrary.ru/LPULYL
7. Schaumann, A. and U.W. Thomale, Guided Application of Ventricular Catheters (GAVCA)--multicentre study to compare the ventricular catheter position after use of a catheter guide versus freehand application: study protocol for a randomised trail. Trials, 2013. 14: p. 428. DOI: https://doi.org/10.1186/1745-6215-14-428; EDN: https://elibrary.ru/WLDRZS
8. Aschoff, A., et al., The scientific history of hydrocephalus and its treatment. Neurosurg Rev, 1999. 22(2-3): p. 67-93; discussion 94-5. DOI: https://doi.org/10.1007/s101430050035
9. Roach, J., et al., Safety, Accuracy, and Cost Effectiveness of Bedside Bolt External Ventricular Drains (EVDs) in Comparison with Tunneled EVDs Inserted in Theaters. World Neurosurg, 2019. 125: p. e473-e478. DOI: https://doi.org/10.1016/j.wneu.2019.01.106
10. Ghajar, J.B., A guide for ventricular catheter placement. Technical note. J Neurosurg, 1985. 63(6): p. 985-6. DOI: https://doi.org/10.3171/jns.1985.63.6.0985
11. Bauer, D.F., et al., Meta-analysis of hemorrhagic complications from ventriculostomy placement by neurosurgeons. Neurosurgery, 2011. 69(2): p. 255-60. DOI: https://doi.org/10.1227/NEU.0b013e31821a45ba
12. Binz, D.D., L.G. Toussaint, and J.A. Friedman, Hemorrhagic complications of ventriculostomy placement: a meta-analysis. Neurocrit Care, 2009. 10(2): p. 253-6. DOI: https://doi.org/10.1007/s12028-009-9193-0; EDN: https://elibrary.ru/WSFJXQ
13. Zhu, X., The hemorrhage risk of prophylactic external ventricular drain insertion in aneurysmal subarachnoid hemorrhage patients requiring endovascular aneurysm treatment: a systematic review and meta-analysis. J Neurosurg Sci, 2017. 61(1): p. 53-63.
14. Brand, C., et al., Do Complication Rates of Ventricular Drain Placement Differ between Twist Drill and Burr Hole in Acute Hydrocephalus? J Neurol Surg A Cent Eur Neurosurg, 2019. 80(4): p. 277-284.
15. Schödel, P., et al., An outcome analysis of two different procedures of burr-hole trephine and external ventricular drainage in acute hydrocephalus. J Clin Neurosci, 2012. 19(2): p. 267-70. DOI: https://doi.org/10.1016/j.jocn.2011.04.026
16. Курдюмова Н.В., Е.О.Н., Савин И.А., Шифрин М.А., Данилов Г.В., Александрова И.А., Гаджиева О.А., Моченова Н.Н., Соколова Е.Ю. , Дренаж-ассоциированные менингиты у пациентов отделения нейрореанимации. Результаты пятилетнего проспективного наблюдения. Журнал «Вопросы нейрохирургии» имени Н.Н. Бурденко. 2017;81(6):56-63. https://doi.org/10.17116/neiro201781656-62, 2017. EDN: https://elibrary.ru/YNIWDR




